Prekancerózy jsou jasně definované přednádorové stavy způsobené převážně infekcí rizikovým kmenem viru HPV, jenž v případě pozitivity dalších rizikových faktorů mohou vést ke vzniku zhoubného nádoru. Diagnostika je založena na tzv. prebiotických metodách (kolposkopie, onkologická cytologie) a histologickém ověření vzorku tkáně. Léčba je závislá na stadiu. Nejčastějším léčebným zákrokem jsou různé techniky konizace
Dysplazie = prekancerózy = přednádorové změny
Mezi normálním stavem tkáně a nádorem se nacházejí právě tyto stavy. Jejich vývoj je postupný a přechody plynulé. Nejčastější výskyt prekanceróz je na děložním hrdle. Zde se dělí dle závažnosti na tři stupně – I (lehké), II (střední) a III (těžké). Diagnóza musí být potvrzena vždy odběrem vzorečku tkáně (biopsie, konizace).
Po stanovení diagnózy dysplazie Vám lékař COP navrhne další léčbu. V rozhodování se bere v úvahu stupeň dysplazie, zda jste byla nebo jste nyní gravidní, dále věk, další onemocnění.
Změny mírného stupně (CIN I) většinou sledujeme, závažnější leze (CIN II, III) se řeší operačním zákrokem tzv. konizací. Principem metody je odstranit tyto změny z hrdla a také tímto došetřit okolní tkáň. Při prokázání změn III stupně (CIN III) Vám bude doporučena dispenzarizace (=pravidelné kontroly) v naší specializované COP ambulanci.
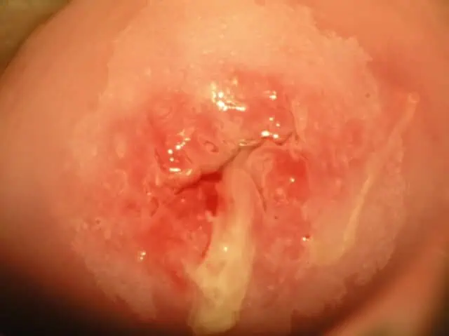
Přednádorové změny v obrazech
normální kolposkopické nálezy na děložním čípku – ektropium
Pomocí cookies vylepšujeme příjemnost prohlížení, nabízíme na míru přizpůsobené reklamy či obsah a analyzujeme návštěvnost stránky. Kliknutím na „Přijmout vše“ vyjadřujete souhlas s tím, jak cookies používáme.
Funkční
Vždy aktivní
Funkční soubory cookie pomáhají provádět určité funkce, jako je sdílení obsahu webových stránek na platformách sociálních médií, shromažďování zpětných vazeb a další funkce třetích stran.
Předvolby
Nezbytné soubory cookie jsou zásadní pro základní funkce webu a web bez nich nebude fungovat zamýšleným způsobem. Tyto soubory cookie neukládají žádná osobní identifikační data.
Statistické
Statistické soubory cookie se používají k pochopení interakce návštěvníků s webem. Tyto soubory cookie pomáhají poskytovat informace o metrikách počet návštěvníků, míru okamžitého opuštění, zdroj provozu atd.Technické uložení nebo přístup, který se používá výhradně pro anonymní statistické účely. Bez předvolání, dobrovolného plnění ze strany vašeho Poskytovatele internetových služeb nebo dalších záznamů od třetí strany nelze informace, uložené nebo získané pouze pro tento účel, obvykle použít k vaší identifikaci.
Marketingové
Marketingové soubory cookie se používají k doručování návštěvníků přizpůsobenými reklamami na základě stránek, které navštívili dříve, a k analýze účinnosti reklamní kampaně.