Vyšetření je založeno na zpracování vzorků periferní krve pomocí standardní „in vitro“ kultivace buněk s následným hodnocením mikroskopických preparátů analýzou na úrovni chromozomů. Toto vysoce kvalifikované vyšetření není v současné době možné nahradit přístrojovým zpracováním.
Laboratoř lékařské genetiky nabízí tato vyšetření
- Stanovení karyotypu
- Stanovení numerických odchylek pohlavních chromozomů pomocí fluorescenční in situ hybridizace (FISH)
- Stanovení hodnoty získaných chromozomálních aberací (ZCHA)
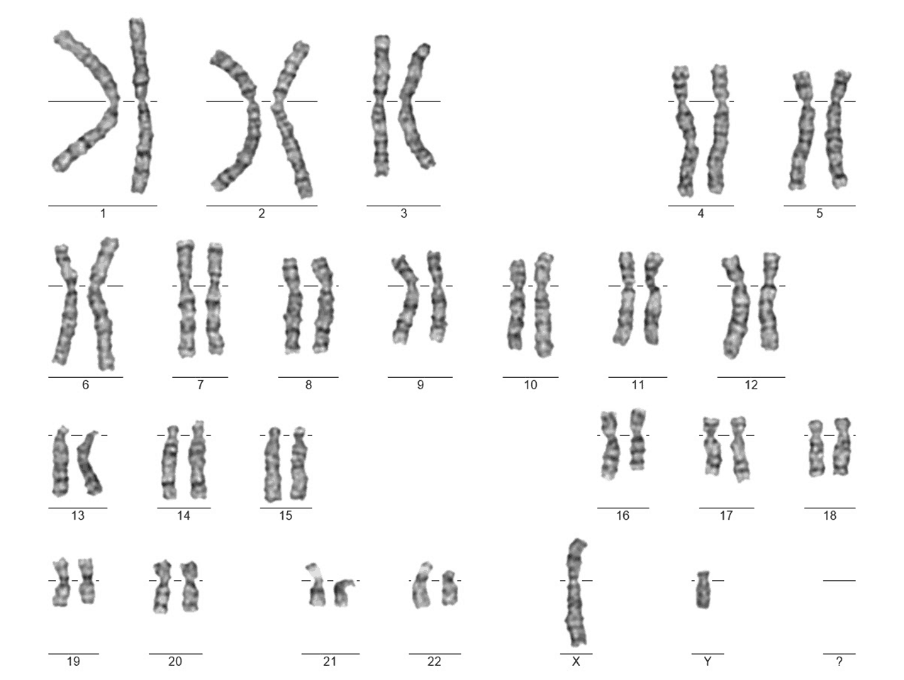
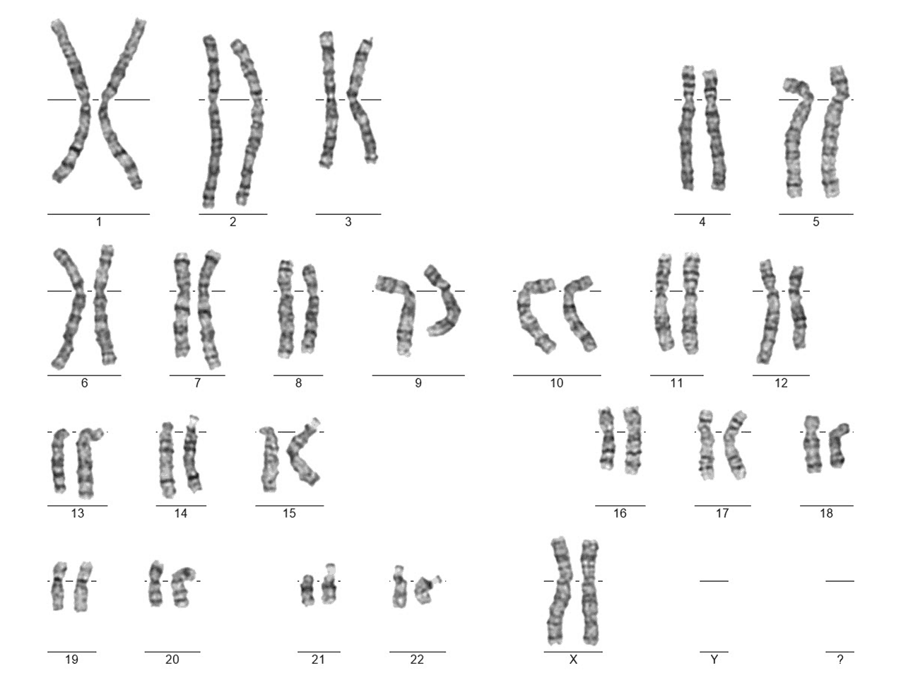
Vyšetření chromozomů (karyotyp)
Základním cytogenetickým vyšetřením prováděným v Laboratoři lékařské genetiky (zejména u párů s poruchou reprodukce a dárců gamet) je sestavení karyotypu, sledující počet a strukturu chromozomů. Chromozomy mají typický tvar a jsou uložené v jádrech buněk.
Každý zdravý člověk má 23 párů, tedy 46 chromozomů.
Vyšetřením karyotypu můžeme odhalit i drobné chromozomální přestavby, které nepůsobí navenek žádné potíže, ale mohou být příčinou snížené plodnosti či potratů již v časném stádiu těhotenství nebo i narození postiženého dítěte. Karyotyp se vyšetřuje z periferní krve a jeho provedení je doporučeno u párů, u nichž již došlo k opakovanému samovolnému potratu nebo které se už nějakou dobu o miminko neúspěšně snaží.
Cytogenetická laboratoř zahájila svůj provoz v lednu 2008. Zabývá se základní cytogenetickou analýzou chromozomů – stanovením karyotypu. Používá tradiční metody zpracování vzorků periferní krve – kultivace buněk in vitro s jejich následnou chromozomovou analýzou.
Toto vysoce kvalifikované vyšetření není v současné době možné nahradit přístrojovým zpracováním.


Chromozomální vady (aberace)
Chromozomální aberace jsou odchylky v počtu (aneuploidie) nebo struktuře chromozomů (strukturální anomálie a translokace) a vždy znamenají pro nositele nebo jeho potomky riziko závažných změn genetické výbavy postihující řadu orgánů. V současnosti neexistuje ani účinná prevence, ani cílená léčba chromozomálních vad a životní prognóza postižených je téměř vždy nepříznivá.
Chromozomální aberace mohou být zděděny od matky, od otce, nebo mohou vzniknout nově (de novo). Aneuploidie většinou vzniká náhodně při početí a její riziko stoupá s věkem matky. Zatímco některá aneuploidní embrya se mohou vyvíjet až do porodu dítěte (např. Downův syndrom), většina těhotenství aneuploidních embryí končí spontánním potratem.
Ne všechny chromozomální aberace vždy musejí znamenat změnu genetické výbavy buňky – aberace může být balancovaná a její nositel je pak většinou zdráv. Je však riziko, že nositel bude mít část svých pohlavních buněk nebalancovanou, což se v takovém případě může projevovat neplodností nebo opakovaným potrácením. Při významném riziku chromozomální vady pro budoucí dítě a/nebo riziku neúspěchu těhotenství doporučujeme asistovanou reprodukci a vyšetření vzniklých embryí pomocí preimplantačního genetického testování (PGT).