Co to je onkologická cytologie?
Onkologická cytologie je hlavní screeningovou (vyhledávací) metodou. Slouží jako základní způsob k odhalení předrakovinových změn (odborně prekanceróz, dysplazií) a rakoviny děložního hrdla. Odběr cytologického stěru se provádí v návaznosti na kolposkopické vyšetření. V těhotenství je odběr proveden jako běžná součást základního vyšetření. Cytologii lze odebrat i z podezřelého místa v pochvě, při změnách na zevních rodidlech je její využití omezené.
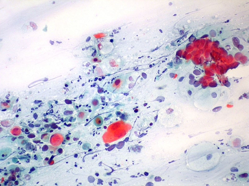
Odebrané buňky jsou natřeny na sklo a zafixovány alkoholovým roztokem. Nedílnou součástí stěru je i dobře vyplněná průvodka k vyšetření, obsahující informace o datu posledního menstruačního krvácení, užívání antikoncepce či délce trvání těhotenství. Fixovaný preparát cytologického stěru je s dokumentací odeslán k vyhodnocení do cytologické laboratoře, kde odborník-cytolog vyšetří a nález se podrobně popíše. K hodnocení je aktuálně v České republice využívána cytologická klasifikace přijatá v USA ve městě Bethesda v roce 2001.
Po velmi podrobném a jednoznačném popisu následuje doporučení dalšího postupu. Cytolog zhodnotí kvalitu stěru, hormonální stav ženy a případnou infekci a zařadí pozorované buňky děložního hrdla do příslušné kategorie.
Zjednodušeně je možné popsat 3 různé skupiny výsledků: 1. nálezy normální, 2. nálezy nejasné a 3. nálezy abnormální. V případě nejasných nebo abnormálních výsledků je doporučena kontrola cytologického stěru v kratším intervalu, obvykle za 3–6 měsíců, případně kolposkopické vyšetření ve specializované ambulanci Centra onkologické prevence (běžně používaná zkratka COP).
Jak se odebírá materiál na onkologickou cytologii?
Cytologickým stěrem jsou odebrány povrchové buňky ze zevní části děložního hrdla (odborně exocervixu) nejčastěji špátlí nebo kartáčkem a povrchové buňky z kanálku děložního hrdla (odborně endocervixu) obvykle speciálním kartáčkem. Vyšetření je nebolestivé, někdy může být při odběru z kanálku děložního hrdla pociťován tupý tlak v podbřišku, po vyšetření se může objevit slabé zakrvácení.





