Genea World Leading Fertility (dříve Sydney IVF) je absolutní špičkou v oboru IVF již téměř 30 let
Dlouhodobě určuje hlavní trendy v tomto oboru. Jejich cílem je, aby si co nejvíce klientů mohlo přinést domů z porodnice zdravé dítě. A aby se rodičům na cestě k vytouženým dětem dostalo co nejlepší péče. Nic víc, nic míň.
Vědci a lékaři z Geney patří dlouhodobě k předním světovým odborníkům na IVF a související léčbu
Technologie a zařízení vyvinuté ve společnosti Genea v současné době používá přes 600 klinik v 60 zemích po celém světě. Genea neustále investuje asi 25 % svých zisků zpět do vývoje, ve kterém určuje hlavní dění. A my máme jedinečnou možnost se na těchto výzkumech podílet také.
Spolupráce s Geneou nám přináší obrovskou výhodu
Exkluzivně jako první v České republice, na Slovensku a jako jedni z mála v Evropě máme k dispozici nové objevy, postupy a technologie mnohem dříve, než se začnou běžně používat.
Jaká konkrétní vylepšení nám spolupráce s Genea přinesla?
Máme skvělé výsledky
Hlavně díky dlouhodobé spolupráci a laskavému vedení ze strany Genea World Leading Fertility dosahujeme tak dobrých výsledků. Tato spolupráce nás naučila, že je důležité věnovat pozornost každému detailu naší práce, protože i malé nedostatky mohou mít dalekosáhlé důsledky.
Jsme pacientům k dispozici 7 dní v týdnu
Také jsme si uvědomili, že není možné ustupovat vlastnímu pohodlí. Proto pracujeme každý den v týdnu včetně víkendů. Jedině tak můžeme dosáhnout optimálních výsledků při stimulaci a nezameškáme ten pravý čas na odběr vajíček a transfer embryí.
Rozumíme genetické analýze embryí
Genea je nejlepší na světě v genetické analýze embryí. Jako jedni z prvních v Evropě jsme díky tomu začali provádět preimplantační genetickou diagnostiku a screening na 5-6denních embryích.
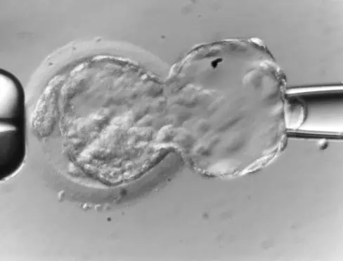
Úspěšně bioptujeme 5denní embrya
Díky Genei jsme jako první v Evropě začali s biopsií blastocyst. Nejen že z blastocyst můžeme získat mnohem více materiálu ke genetické analýze, ale máme také větší jistotu, že tímto zákrokem vývoj embryí neohrozíme. Ze třídenních embryí je možné odebrat jen 1 nebo 2 buňky, přičemž není jasné, zda neodebíráme takové buňky, které jsou bezprostředně nutné pro jejich další vývoj. Jejich vývoj se takovou biopsií může vážně ohrozit, nebo i zcela zastavit. U blastocyst odebíráme buňky z části, ze které vzniká placenta a zárodečné obaly. Daří se mám jich získat několikanásobně více, což umožňuje přesnější vyšetření.
Transferujeme opravdu kvalitní embrya
Genea jako první zavedla transfer embryí ve stádiu blastocysty. Dobře provedená prodloužená kultivace umožňuje získat kvalitní embrya, která mají vždy vyšší šanci na úspěch než 3denní. 5denní kultivace optimálně kopíruje ženin přirozený cyklus. Umožňuje vkládat do dělohy embrya stejně stará, jako v nativních cyklech. 3denní embryo do dělohy prostě nepatří.
Máme skvělé podmínky pro kultivaci embryí
Genea vyvinula miniinkubátory (MINC), jejichž používání dramaticky zvyšuje úspěšnost v počtu těhotných pacientek. Oproti běžným velkým inkubátorům mají tu výhodu, že v nich minimálně kolísá teplota a hladina oxidu uhličitého. Tomuto kolísání je třeba co nejvíce zamezit, protože embryím škodí. Při použití klasických inkubátorů téměř není možné optimální podmínky dodržet. I taková věc má na celkovou úspěšnost IVF veliký vliv.
Genea vyvinula také inkubátory GERI se zabudovanou kamerou, které mají zároveň i výhody miniinkubátoru. O úspěšnosti kultivace v tomto nejdokonalejším přístroji svého druhu si přečtěte na našem blogu.

Spolupracujeme s opravdovým expertem na kultivaci
Genea vyvinula a stále vyvíjí vlastní kultivační média, která se v současné době používají ve více než 600 klinikách po celém světě. Genea brzy představí už 3. generaci kultivačních médií. Jakmile tato média splní podmínky pro certifikaci, začneme je používat v naší laboratoři.
Používáme dokonalou metodu mražení
Spolupráce s Geneou nám umožnila jako prvním v České republice začít s vitrifikací embryí. To je velmi vyspělá metoda mražení. V současné době máme stejně vysokou úspěšnost za použití čerstvých i rozmražených embryí. Přežívání vitrifikovaných embryí je téměř 100%. V roce 2015 Genea uvedla do provozu vitrifikační automat Gavi, který má pozitivní dopad na kvalitu zamražených embryí.
Pomáháme pacientkám získat čas
Díky této spolupráci vám můžeme také nabídnout zamrazení a uchování vajíček, takže můžete získat více času na založení rodiny. Vajíčka se mrazí v různých případech. Například před nástupem onkologické léčby, nebo když žena nemá partnera a bojí se, že v budoucnu nebude schopná otěhotnět přirozeně, atd.
Pokud máte pocit, že bychom vám v Sanatoriu Helios mohli jakkoliv pomoci, objednejte se prosím na nezávaznou konzultaci k našim odborníkům. Volejte na 549 523 258, nebo použijte kontaktní formulář na této stránce. K objednání nepotřebujete žádanku a drtivá většina základních diagnostických vyšetření se hradí z vašeho zdravotního pojištění.





